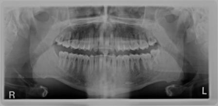
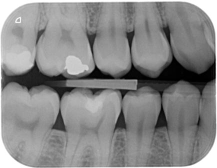
Nel nostro Studio impieghiamo un sistema radiografico computerizzato, il Vista Scan Plus della Dürr che consente di ottenere immagini di alta qualità (vedi confronto analogico/digitale) con dosi radiogene sensibilmente più basse per il paziente.

Inoltre, eliminando i liquidi per lo sviluppo e il fissaggio, questo sistema è anche molto meno inquinante per l’ambiente.

Con Vistascan Plus siamo in grado di ottenere, nel giro di pochi minuti, tutte le immagini che ci servono per un corretto ausilio diagnostico: bitewing, endorali, ortopantomografie, teleradiografie.
Sistema radiografico computerizzato: Vista Scan Plus
Vista Scan Plus

© 2014 Dr. Luca Mergati - Dottore in Odontoiatria e Protesi Dentaria, Specialista in Ortognatodonzia
Iscrizione Ordine Medici Milano - Albo Odontoiatri n. 1778
Via Giacomo Matteotti, 110 - 20082 BINASCO (MI) - Tel: 02 9055576 - e-mail:
scrivimi@LucaMergati.it
P. IVA 13302380152 - Tutti i diritti riservati