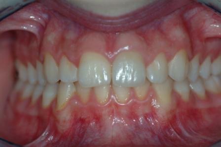
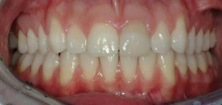
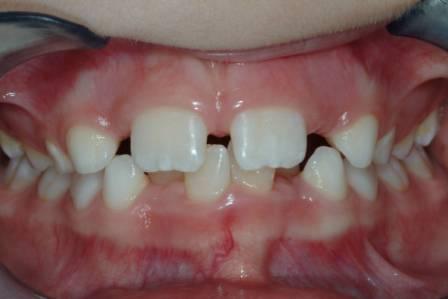
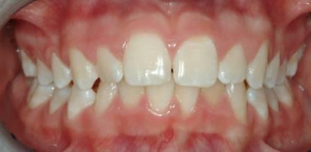
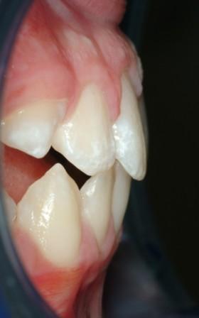
Ragazzi 1

Ortodonzia
A1 A2 A3
A4 A5 A6
A7 A8
G1 G2 G3
G4 G5 G6
G7 G8 G9
F1 F2 F3
F4 F5 F6
F7 F8 F9
F10

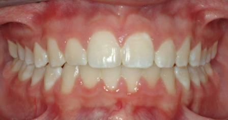
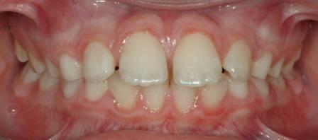
Ragazzi 2

Ragazzi 3

Esempi Ortodonzia Ragazzi

© 2014 Dr. Luca Mergati - Dottore in Odontoiatria e Protesi Dentaria, Specialista in Ortognatodonzia
Iscrizione Ordine Medici Milano - Albo Odontoiatri n. 1778
Via Giacomo Matteotti, 110 - 20082 BINASCO (MI) - Tel: 02 9055576 - e-mail:
scrivimi@LucaMergati.it
P. IVA 13302380152 - Tutti i diritti riservati