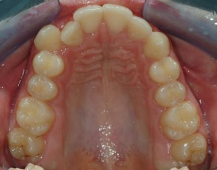
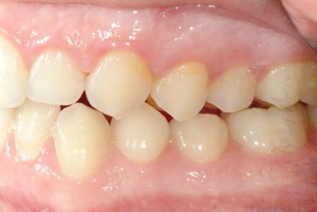
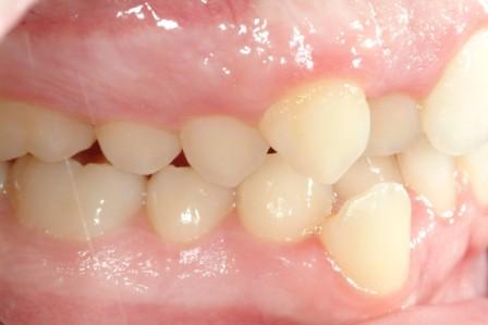
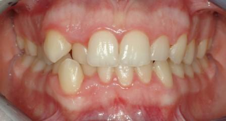
Ortodonzia - studio caso
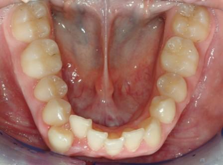
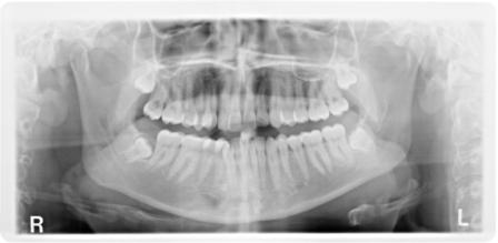
sc1 sc2 sc2a
sc3 sc4 sc5
sc6 sc7 sc8
sc9 sc10 sc11
sc12 sc13
Esempi Ortodonzia Studio Caso

© 2014 Dr. Luca Mergati - Dottore in Odontoiatria e Protesi Dentaria, Specialista in Ortognatodonzia
Iscrizione Ordine Medici Milano - Albo Odontoiatri n. 1778
Via Giacomo Matteotti, 110 - 20082 BINASCO (MI) - Tel: 02 9055576 - e-mail:
scrivimi@LucaMergati.it
P. IVA 13302380152 - Tutti i diritti riservati